Artykuł sponsorowany
Rola tomografii komputerowej w planowaniu leczenia stomatologicznego

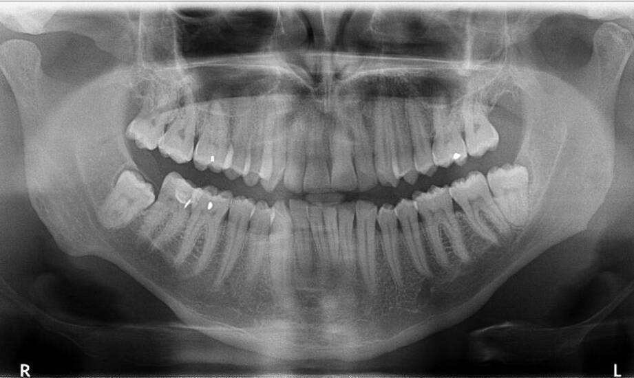
Tomografia komputerowa to nowoczesna technika diagnostyczna, która rewolucjonizuje podejście do planowania leczenia stomatologicznego. Dzięki szczegółowym obrazom 3D możliwe jest dokładniejsze ocenienie stanu uzębienia pacjenta, co przekłada się na skuteczniejsze i bardziej precyzyjne leczenie. Specjaliści oferują usługi tomografii komputerowej zęba w Skawinie oraz inne metody diagnostyki stomatologicznej, takie jak RTG czy radiowizjografia. W artykule przyjrzymy się znaczeniu tej technologii w diagnostyce, jej zaletom oraz wpływowi na różne aspekty stomatologii, a także porównamy ją z innymi metodami obrazowania.
Przeczytaj również: Czy implanty zębowe są odpowiednie dla każdego pacjenta? Kryteria kwalifikacji do leczenia implantologicznego
Diagnostyka i identyfikacja problemów
Tomografia komputerowa odgrywa kluczową rolę w diagnozowaniu problemów stomatologicznych, dostarczając szczegółowe informacje o strukturze zębów oraz tkanek otaczających. Dzięki tej technologii lekarze mogą identyfikować zmiany patologiczne, które mogą być niewidoczne w tradycyjnych zdjęciach RTG. W Skawinie specjaliści oferują tomografię komputerową zębów, co pozwala na dokładną analizę problemów jamy ustnej pacjentów. To wsparcie dla procesu diagnozowania chorób jamy ustnej, takich jak zębopochodne zapalenie zatok czy torbiele korzeniowe. Tomografia komputerowa jest również pomocna w planowaniu leczenia implantologicznego oraz ortodontycznego, umożliwiając ocenę warunków anatomicznych do przeprowadzenia zabiegów. Dzięki temu lekarze mogą opracować indywidualne plany terapeutyczne, które spełniają oczekiwania pacjentów i są dostosowane do ich potrzeb. Warto podkreślić znaczenie profesjonalizmu w branży stomatologicznej, zwłaszcza w kontekście stosowania nowoczesnych metod diagnostycznych, takich jak tomografia komputerowa zęba oraz inne innowacyjne rozwiązania dostępne w naszej okolicy.
Przeczytaj również: Akrylożele do paznokci – jak uzyskać perfekcyjny efekt?
Planowanie leczenia na podstawie obrazów 3D
Planowanie leczenia na podstawie obrazów 3D jest kluczowe dla osiągnięcia efektywności i bezpieczeństwa procedur stomatologicznych. Tomografia komputerowa zęba w Skawinie dostarcza trójwymiarowe obrazy, które pozwalają lekarzom dokładnie ocenić stan uzębienia oraz struktury anatomiczne pacjenta. Dzięki temu specjaliści mogą precyzyjnie zaplanować zabiegi, takie jak implantacja czy leczenie kanałowe. W przypadku implantacji stomatologicznej tomografia umożliwia ocenę ilości i jakości kości, co jest niezbędne do wyboru odpowiedniego implantu oraz określenia jego lokalizacji. Taki proces pozwala uniknąć powikłań i zwiększa szanse na sukces zabiegu. W kontekście leczenia kanałowego obrazowanie 3D pomaga zidentyfikować dodatkowe kanały korzeniowe oraz ocenić stopień ich skomplikowania, co przekłada się na lepsze wyniki terapeutyczne i mniejsze ryzyko nawrotów problemów stomatologicznych.
Przeczytaj również: Bez recepty – co warto wiedzieć o dostępnych lekach i ich zastosowaniach
Przyszłość tomografii w stomatologii
W miarę postępu technologicznego tomografia komputerowa zęba staje się coraz bardziej powszechna, przynosząc korzyści zarówno dla lekarzy, jak i pacjentów. Przyszłe kierunki rozwoju obejmują dalsze udoskonalenie technik obrazowania oraz miniaturyzację urządzeń, co pozwoli na jeszcze szybsze i dokładniejsze diagnozy przy mniejszym promieniowaniu. Wprowadzenie nowych metod analizy obrazów może poprawić jakość diagnostyki oraz leczenia problemów stomatologicznych. Tomografia komputerowa ma potencjał do znacznego wpływu na jakość opieki nad pacjentami, zwłaszcza w Skawinie i okolicach. Dzięki niej specjaliści będą mogli lepiej planować leczenie, a pacjenci uzyskają dostęp do nowoczesnych rozwiązań stomatologicznych. Warto zainwestować w tomografię komputerową zęba oraz inne usługi diagnostyczne dla zdrowia jamy ustnej.



